top of page


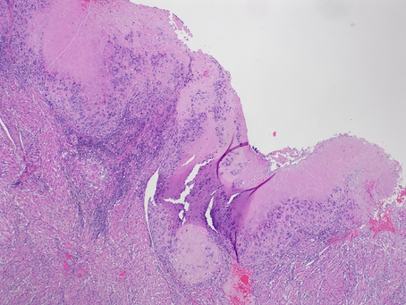
ENT Case 9. Sinonasal tract content.
•Diagnosis: encephalocele •Congenital or iatrogenic •Clinical team usually knows the diagnosis before the surgery •Occasionally...
AlphaMedEdu
Feb 7, 20241 min read


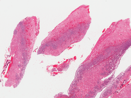
ENT Case 8. Sinonasal endoscopic surgery from a diabetic patient.
Diagnosis: invasive fungal sinusitis The findings can be subtle under microscope, with only small fragment of necrotic tissue: High...
AlphaMedEdu
Feb 7, 20241 min read


Cytopathology Case 1. Thyroid mass from an elderly patient.
cell block preparation: Diagnosis: metastatic lung adenocarcinoma to thyroid This case is challenging as the tumor cells demonstrating...
AlphaMedEdu
Feb 6, 20241 min read


Cytopathology. Papillary thyroid carcinoma (PTC).
Nuclear features: Architectural features of PTC
AlphaMedEdu
Feb 6, 20241 min read


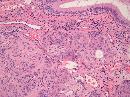
ENT Case 7. Nasal cavity mass from a middle-aged male patient.
Diagnosis: Meningothelial meningioma Extracranial Sinonasal Tract Meningiomas etiology: –Direct extension from primary intracranial...
AlphaMedEdu
Feb 5, 20241 min read


ENT Case 6. Laryngeal mass from a middle-aged male patient.
PITFALL to avoid: this is not medullary carcinoma of thyroid. Diagnosis: neurocrine tumor, grade 1 of larynx NET from larynx is rare and...
AlphaMedEdu
Feb 5, 20241 min read


Bone and soft tissue Case 5. Thigh mass from a 4 YO patient.
The mass was biopsied and diagnosed at outside hospital as sarcoma. The patient was treated with chemoradiation, followed by amputation....
AlphaMedEdu
Feb 3, 20241 min read


ENT case 5. Parotid mass from a 40 YO male patient
Multiple neck lymph nodes are positive for tumor: Next generation squence showed EWSR1-WT1 fusion. Diagnosis: Desmoplastic Small Round...
AlphaMedEdu
Feb 3, 20241 min read


GYN Case 2. Hysterectomy from a young patient in 20s
•Diagnosis: epithelioid trophoblastic tumor
AlphaMedEdu
Feb 2, 20241 min read


GYN Case 1. Endometrial curretage from a 40 year old patient.
•Diagnosis: epithelioid trophoblastic tumor (ETT) •ETT is a malignant neoplasm of chorionic-type intermediate trophoblast •The rarest of...
AlphaMedEdu
Feb 2, 20241 min read
bottom of page